Thoroughbreds can sustain fractures on the racetrack due to their high-intensity work during training and racing. While fractures might raise concerns about the future performance of off-track Thoroughbreds (OTTBs), acquiring such an injury on the track does not necessarily preclude a horse from having a successful second career.
In this article we’ll review the most frequently diagnosed fracture types in Thoroughbred racehorses and how they could affect the horses’ soundness and athleticism.
Types of Fractures in Thoroughbreds
“Fractures in racehorses are commonly repetitive stress injuries that ultimately come down to the bone being unable to keep up with healing itself from stress remodeling,” says Russell Freeland, DVM, Dipl. ACVS, an equine surgeon at Hagyard Equine Medical Institute, in Lexington, Kentucky. “These fractures are most commonly seen in horses in training that work at speed.”
Stress fractures of the tibia, the long bone that stretches from the stifle to the hock, are examples of repetitive stress injuries veterinarians see, especially in young racing Thoroughbreds, says Steve Allday, DVM, who focuses on equine lameness diagnostics and sports medicine in his Simpsonville, Kentucky, practice.
“I see these (stress fractures) commonly as most of my patients are young, growing Thoroughbreds from high-performance pedigrees,” says Allday. “These typically present on the long bones of the limbs, like the forelimb cannon bones, and typically have a palpable enlargement on the cannon bone in particular. We do see spiral stress fractures of the humerus (the bone between the shoulder and elbow joint), although they are not nearly as common.
Meanwhile, “carpus (knee) and fetlock fragments are, in my experience on the racetrack, the most common fractures that I encounter,” he says. These carpal and fetlock chips are also generally caused by trauma associated with fast, high-intensity exercise.
Fractures of the condyle—the bottom or distal end of the cannon bone that fits into the fetlock joint—can also occur.
“Condylar fractures are something I see quite a bit as well,” Allday says. “These usually occur in racing Thoroughbreds and are found typically after fast workouts or races.”
Veterinarians also diagnose sesamoid fractures in racehorses—affecting one or both sesamoid bones at the back of the fetlock, which are surrounded by ligaments. These injuries range in severity and can be tricky to repair because many possible fracture configurations exist (i.e., different parts of the bone can break in many ways).
Sesamoid fractures happen in sport horses, too—like any fracture, whether during work or turnout—but usually are simple fractures compared to what is sustained at high speed. Overall, sesamoid fractures are more often seen in racehorses versus other types of performance horses, says Allday.

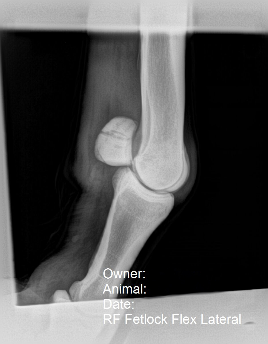
In this radiograph, the right front fetlock is flexed, and fracture to the sesamoid bone is visible. Courtesy Danielle Montgomery
Racehorse Fracture Diagnosis, Repair and Second-Career Implications
Depending on the fracture, treatment will include time to heal along with medical or surgical management.
If you acquire a retired Thoroughbred racehorse with a chip or other fracture, “working closely with your veterinarian is imperative in determining whether surgery, a type of rehabilitation and/or conditioning is best suited,” says Allday. “After time off or recovery from surgical intervention, regular evaluation may be necessary. Monitoring regularly with your veterinarian is just as important to the conditioning program and soundness.”
Stress fractures “The stress fractures we see (usually) resolve medically, though diagnosing them can be a challenge,” says Freeland. “These fractures are often not, or minimally, radiographically apparent and require advanced imaging such as nuclear scintigraphy or PET scan to catch early. The worst-case scenario is these fractures are not appreciated, the horse continues training, and the fracture can propagate to become a more classic complete fracture, which is often career- and maybe life-ending.”
Repetitive injury to the cannon bones during race training is an example of this scenario.
“Ultimately, this injury can become a condylar fracture,” Freeland explains.
Condylar fractures Veterinarians once considered a condylar fracture a career-ending injury. Thanks to advancements in equine surgery, however, this is generally no longer the case—and these cases customarily do need surgical repair, says Freeland. Ultimately, fracture configuration and healing at the joint surface influence the horse’s prognosis.
“Surgery can most commonly be performed with a couple screws placed across the fracture line near the fetlock,” says Freeland. “Occasionally, additional screws or a plate is required.“Overall, the prognosis is considered good for race training and even second careers,” he adds. “The history of a fracture may or may not be known to the off-the-track owner but, in the case of condylar fracture, the screws are typically left in the horse. These would show up on radiographs. As long as the joint looks OK and is not developing arthritis, we expect the horse to do well and have a relatively normal second career without restrictions.”
Allday agrees. “If discovered prior to displacement, a compression screw is inserted into the fracture line and recovery again now has a good prognosis,” he says. “Rest, proper rehabilitation and management of these situations in particular are essential to getting these horses back into race training or ready for a second career if they are not returning to the racetrack.”
Chip fractures For chip fractures such as the carpus and fetlock fragments mentioned earlier, practitioners normally recommend chip removal.
“Depending on the location of the fragments or chips, I typically discover these during a routine physical examination and subsequent radiography for confirmation,” says Allday. “These are many times referred to a surgeon for removal. Fragment removal is very common, and the prognosis for return to regular athletic activity is usually good. However, I usually leave that determination up to the surgeon because he has a better perspective to evaluate them based on the findings during the fragment removal.”
Again, sesamoid fractures can be more complicated, says Allday. While some OTTBs do very well without surgery, others need it to remove or repair the fragment.
“Apical (at the top) fractures of the sesamoids are the most common and may or may not be removed depending on how large the fragment, or fragments, are and if the suspensory ligament is involved,” says Allday. “Middle sesamoid fractures, for example, (make it) extremely difficult for a horse to return to heavy athletic training and competition. The same can be said for basilar (at the base) sesamoid fractures, especially when the distal sesamoidean ligaments are involved.” The location of fractures makes it such that they won’t hold up, and the horse rarely remains sound, says Allday.

This radiograph shows a fracture to the third metacarpal or cannon bone. Courtesy Danielle Montgomery
Rest, Rehab and Preventive Maintenance for the Fracture Patient
Sometimes veterinarians recommend downtime after racing for certain types of fractures to fully heal. This is the case for horses with tibia fractures, for example.
“This type of fracture is treated with time off,” Freeland says. “The cycle of bone injury has to be stopped, and then the horse ultimately heals itself. Once the horse is no longer in race training, the risk of stress fractures is much lower, as they are rare in the sport horse. Any stress fractures presented in the off-the-track horse should be fully healed by four to six months. They can, of course, still get the typical traumatic fractures we see in other disciplines, as well as with kick or fall injuries, though these are in the minority for fractures.”
When caring for a horse that has recovered from a fracture, mindful care, meticulous attention to detail and working with your veterinarian are crucial.
“Preventative maintenance is always the most important part of any routine training and exercise program,” says Allday. “Many times your horse may have suffered an injury during its training or racing career. The area where the fracture occurred may have been the compensatory limb or the area that became overloaded due to the asymmetrical gait caused by an undiagnosed lameness or performance injury.
“Determining the primary deficits can be difficult and sometimes challenging, but it can be the key for success for the second career of your former racehorse,” he adds.
Take-Home Message
Fortunately, not all fractures are career-ending or prevent retired Thoroughbred racehorses from having second careers.
With proper rest, correct treatment and uncomplicated recovery, our sources say Thoroughbreds can go on to have long, successful second careers—even after fractures.
Fracture Terms to Know
Simple: A single fissure in the bone.
Incomplete: A partial fracture affecting only one side of the bone.
Complete: A total break resulting in distinct bone segments.
Displaced: Bone segments have shifted from their normal alignment.
Comminuted: Fragmented or comprising numerous detached bone pieces.
Closed: No associated external wound.
Open: Involves an accompanying wound.
Stress: Small, partial fractures.
Articular: A fracture that includes joint involvement.
Star: Multiple fractures extending outward from a central point.










